|
Savvas Lykoudis,
Ioannis Koutroubas, Nikolaos Manidakis, George Tzoanos, Kyriakos
Kakavelakis, Konstantinos Balalis, Pavlos G. Katonis.
Department of Orthopaedics and Traumatology,
Heraklion University Hospital Crete Greece.
Voutes Heraklion 71110
Address for Correspondence:
Savvas Lykoudis
Department of Orthopaedics and Traumatology,
Heraklion University Hospital Crete Greece.
Voutes Heraklion 71110
Phone :
00302810250408
Fax :
00302810392374
E-mail :
savvaslykoudis@gmail.com |
|
Abstract:
This case presents a bilateral simultaneous hip dislocation with
left hip anterior dislocated and the right hip posterior
dislocated accompanied by posterior wall fracture. The first try
for reduction was made in the emergency room under sedation and
a post reduction plain radiograph and C/T scan was applied. The
left hip reduction was achieved but for the right hip an open
reduction in the operating with posterior Kocher- Langebeck
approach was applied with posterior wall fracture reconstruction
and bony fragment from the hip joint removal. The patient was
non-compliance and immediately after operation left the
hospital, coming again to the emergency department after three
months with loss of reduction from the right hip and fixation
break down. The definitive treatment for the patient was
cementless total hip replacement with metal cage in the
acetabulum for posterior wall support. Traumatic hip dislocation
is a true Orthopaedic emergency and it needs prompt diagnosis
and immediate therapy.
J.Orthopaedics 2010;7(4)e3
Keywords:
Bilateral hip dislocation; acetabular fracture; closed
reduction; open reduction; posterior wall reconstruction; total
hip arthroplasty; motor vechicle accident; patient compience.
Introduction:
Traumatic bilateral hip dislocation is a rare injury. It is
caused by high-energy trauma and it accounts about (1-2)% of
joint dislocations. [1] Even rare is the injury with bilateral
total hip dislocation and the affected hips to be dislocated in
opposite directions. [2,3,4]
A 47-years-old male is going to be presented at this case report
. After a car accident he came to the hospital suffering from
anterior dislocation of the left hip and posterior dislocation
with posterior wall fracture in the right hip.
Case Report:
A 47-years-old male involved in a car accident was carried to
the emergency department one hour after injury with his right
hip flexed abducted and internally rotated whereas his left hip
was moderately flexed abducted and externally rotated. The
patient was conscious; he had no other associated injuries. His
respiratory rate was normal; his peripheral pulses in arterial
dorsalis pedis and arterial tibialis posterior were also normal.
The patient had no other neurologic deficiency. Plain
radiographs reveal an anterior dislocation in the left hip and
posterior dislocation in the right hip associated with posterior
wall fracture. There was also and a bone fragment in the right
acetabular cavity. (Fig 1)At the emergency room and under
sedation (iv. propofol and fentanyl) was made the first try for
closed reduction. The left hip was reducted closely applying
traction to the extremity while extending and internally rotated
the hip. The reduction was checked with post reduction plain
radiograph and C\T scan. It was also checked the stability and
the range of motion of the hip. [fig.2] The right hip needed an
open reduction in the operating room under general anesthaesia
in order to remove the bony fragment of the joint and to
reconstruct the injured acetabulum posterior Kocher-Langebeck
approach was used. The bony fragment from the hip joint was
removed and the posterior wall was reconstructed using screws
and the right hip was reducted. There was no difference in the
neurological status postoperatively. The patient was
non-compliance he left the hospital immediately after the
operation and he was applied full weight bearing since the first
operation day. The patient came again to the hospital three
months after the surgery at the emergency department with loss
of fixation and the hip dislocated posteriorly again. [fig.3] As
definite treatment in the right hip was applied cementless total
hip arthroplasty with metal cage as posterior wall support.
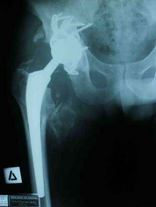
[Fig. 4]

Fig.1: AP radiograph of the pelvis at presentation
showing anterior dislocation of the left hip and posterior
dislocation with associated posterior wall fracture in the right
hip.

Fig.2: C/T scan after first try for reduction showing
that the left hip is reduced and a bony fragment in the right
acetabulum and a posterior wall fracture.

Fig.3: AP radiograph showing a loss of reduction and
reconstruction failure of the right hip.

Fig.4: A total hip Arthroplasty was applied with metal
cage for posterior wall support.
Discussion :
The patient was in complete recovery.
Traumatic hip dislocation is an injury that we rarely met.
Represents (2-5)% of all dislocated joints caused from trauma
[3]. Bilateral simultaneous hip dislocations are even more
unusual [5]. The majority 90%, of hip dislocations is posterior
whereas only 10% of incidences are anterior [6] The cause is the
high-energy trauma such as motor vehicle accident [7] and
depends on the position of the leg at the time of injury,
posterior or anterior hip dislocation on associated posterior
wall fracture will be present. (If the leg is flexed and
adducted caused posterior hip dislocation). The patient should
be examined for associated injuries carefully. These include
femur fracture (about 4% of cases), vascular injury (external
iliac or femoral vessels) especially in anterior hip dislocation
[8], ligament knee injuries such as posterior curiae ligament
injury or complete knee dislocation, sciatic nerve injury-
predominately in posterior hip- dislocation, venous thrombosis
and, as in our case, acetabular fracture. [9, 10] If the
reduction is performed within the first six hours of injury, the
risk of complications such as osteonecrosis of the femoral head,
sciatic nerve injury is lower. [11] According to Thompson and
Epstein classification, the left hip was type 1 and the right
hip was type 4.The patient had dashboard injury and received
direct trauma to both knees while his left hip was abducted,
flexed and internally rotated and his right hip was abducted,
flexed and externally rotated. [12]. The proper management for
the patient was closed reduction for the left hip and open
reduction with posterior approach reconstructing the posterior
wall and removing the fracture fragment from the cavity, for the
right hip. [13]. The patient postoperatively should avoid full
weight bearing for the left hip four 6 to 8 weeks for capsular
healing and at least 10 to 12 weeks for right hip until the
fracture healing occurs. [14]. Unfortunatelly our patient left
the hospital immediately after the operation and he beard his
limbs coming three months later with complete loss of fixation
and his right hip dislocated.
We considered the right hip was prolonged dislocated and the
risk for avascular necrosis of the femoral head was very high. A
total hip arthroplasty with metal cage for acetabular support
was applied. For such injuries it is very important factor
patients compliance and patients cooperation with his physician.
Otherwise the outcomes are much less satisfactory than someone
expects.
Reference:
-
Lam F, Walczak J, and Franklin A. Traumatic asymmetrical
bilateral hip dislocation in an adult. Postgrad Med J2001;
18 : 506-507.
-
Speed K. Simultaneous bilateral traumatic dislocation of the
hip. Am J Surg 1953;85:292.
-
Shukla PC, Cooke SE, Pollack Jr CV, Kolb JC. Simultaneous
asymmetric bilateral traumatic hip dislocation. Ann Emerg Med
1993;22:1768—71.
-
Kerem BıLSEL, Bugra ALPAN, Ender UGUTMEN, Korhan OZKAN
Bilateral simultaneous traumatic hip dislocation in opposite
directions A case report
Acta Orthop. Belg.,
2009; 75: 270-272
-
Ozgur Sahin · Cagatay Ozturk · Ferit Dereboy · Oguz
Karaeminogullari Asymmetrical bilateral traumatic hip
dislocation in an adult with bilateral acetabular fracture
Arch Orthop Trauma Surg 2007; 127:643–646.
-
KE Dreinhofer, Schwarzkopf, SR, NP Haas, and H Tscherne.
Isolated traumatic dislocation of the hip. Long-term results
in 50 patients. J Bone Joint Surg Br, Jan 1994; 76-B: 6 - 12.
-
Loupasis G, Morris EW. Asymetric bilateral traumatic hip
dislocation. Arch Orthop Trauma Surg 1998; 118:179–180.
-
Holt GE, McCarty EC: Anterior hip dislocation with an
associated vascular injuryrequiring amputation. J Trauma 2003;
55: 135-138.
-
Hillyard RF Fox J. Sciatic nerve injuries associated with
traumatic posterior hip dislocations. Am J Emerg Med 2003; 21:
545-548.
-
Sanchez ML, Kovacs NK. Bilateral asymetric traumatic hip
dislocation in an adult. J Emerg Med 2006 31:429–431.
-
Rodriguez-Merchan EC.Osteonecrosis of the femoral head after
traumatic hip disloctionin the adult. Clin Orthop Relat Res
2000; 377:68-77.
-
Kaleli T, Alyuz N .Bilateral traumatic dislocation of the hip:
simultaneously one hip anterior and the other posterior. Arch
Orthop Trauma Surg 1998 117:479–480.
-
Rockwood and Green’s. Fractures in Adults sixth edition ;
p.1742.
-
Rockwood and Green’s. Fractures in Adults sixth edition ;
p.1740.
|