|
ABSTRACT
Background:
Fractures of the shaft of humerus account for approximately 1%
of all fractures treated. The technique of interlocking nailing
represents the newer approach of the treatment of humeral
fractures.
Methods: This was a prospective clinical study between
April 2000 and December 2002 involving 41 consecutive antegrade
unreamed closed humeral nailing for acute humeral shaft
fractures in department of Orthopaedics, Kasturba Medical
College & Hospital, Manipal. Of these, 37 patients were followed
up for at least 18 months postoperatively. Radiological union,
functional outcome and complications were assessed.
Results: Union rate was 91.89% by the end of 6 months.
According to Rodriguez-Merchan EC criteria, 20 patients had
excellent functional rating, 11 had good rating, 3 had fair
rating and 3 had poor rating. There were 3 cases of nonunion, 2
cases of iatrogenic fractures, 3 cases of proximal protrusion of
nail and 4 cases of stiffness of shoulder.
Conclusions: Unreamed humeral interlocking nail is an
effective means of fixation of acute humeral fractures. It is
also of special value in open humeral fractures due to lower
incidence of infections. Shoulder stiffness is a significant
problem in antegrade nailing.
Key Words:
Humeral shaft fracture, humeral interlocking nailing, antegrade
unreamed
J.Orthopaedics 2005;2(1)e2
Introduction
Fractures of the shaft of
humerus account for approximately 1% of all fractures
treated(1). Historically humeral shaft fractures have been
classified by fracture location, fracture pattern, associated
soft tissue injuries and quality of bone. This fracture has been
treated by closed reduction & cast application with/without cast
bracing and open reduction & internal fixation using dynamic
compression plate. Many authors have documented the general good
outcome that occurs after compression plate fixation(2,3,4),
which is still considered the gold standard for operative
treatment of acute humeral shaft fractures. Though plate
fixation has given high rates of union, it involves extensive
soft tissue stripping, potential injury to radial nerve and poor
fixation in osteoporotic bone. Later flexible nails of many
varieties were used(5,6). The advantages of intramedullary
nailing are minimal surgical exposure, better biomechanical
fixation, minimal disturbances of soft tissues and early
mobilization of neighboring joints.
The technique of
interlocking nailing represents the newer approach of the
treatment of humeral fractures. Interlocking nailing also avoids
complications like lack of rotational control, migration of nail
and requirement of supplementary bracing(7,8). The Seidel nail
was the first nail to be tested clinically. Eventually several
nail systems evolved (3,7,9,10,11).
The studies published by
Cox MA(7) and Crates J(10) union rates were 87.9% and 94.5%
respectively in antegrade interlocking nailing. Antegrade
interlocking nailing has a higher rate of shoulder stiffness(7).
The unreamed intramedullary nail has its own distinct
theoretical advantages like eliminating the chances of
iatrogenic fractures, sparing of cortical blood supply and
eliminating the damage to rotator cuff.
The aim of this study was
to evaluate the functional outcome after antegrade undreamed
interlocking nailing in fracture shaft of humerus, the union
rate and the causes of poor outcome.
Patients and
method
This was a prospective
clinical study between April 2000 and December 2002 involving 41
consecutive antegrade unreamed closed humeral nailing for acute
humeral shaft fractures in department of Orthopaedics, Kasturba
Medical College & Hospital, Manipal. Pathological fractures,
nonunions, failed dynamic compression plate were excluded from
the study.
All the nails were inserted
antegrade through an entry point just medial to greater
tuberosity. Reaming was not done to avoid damage to radial nerve
and to reduce damage to the rotator cuff. All these fractures
were fixed using a universal humeral nail of 6.7 mm diameter and
of appropriate length calculated intraoperatively. Distal
locking was done anteroposteriorly by freehand technique using
image intensification. Proximal locking was done using the jig.
Rotator cuff was repaired in all cases.
In 31 patients the operated
limb was immobilized for 2 days and active assisted shoulder
mobilization was started from 3rd postoperative day. In the
remaining 10 patients mobilization of the shoulder was delayed
due to associated ipsilateral upper limb fractures. We followed
up 37 patients for minimum of 18 months postoperatively. One
patient died during the course of follow up and 3 were lost from
follow up.
Radiological union was
defined as the presence of bridging callus of there cortices in
two orthogonal views(7). Delayed union was defined as failure of
fracture union to occur by 4 months. Non union was defined as
failure of fracture union by six months or evidence of fixation
failure(3).The functional outcome was assessed using Rodriguez-Merchan
EC criteria(10). The range of movements was measured by a single
observer using a goniometer.
Shoulder stiffness was
defined as per Benjamin Shaffer(12) and Douglas(13) criteria.
1)History of injury or
repetitive trauma or surgery with onset of stiffness that
functionally restricts the use of extremity.
2)An examination with limited with limited shoulder motion in a
specific direction, multidirectional or globally.
3)Radiograph with normal cartilaginous joint space.
4)Range of motion of shoulder that was less than 90% of the
range when unaffected contralateral shoulder.
Results
There were 33 men and 8
women in this study with a mean age of 41.1 years (19 - 77
years). There were 24 right and 17 left sided fractures. Out of
41 fractures, 32 were closed fractures and 9 were open
fractures. Of the open fractures 1 was type 1, 6 were type 2, 1
was type 3A and 1 was type 3B. The fractures were classified
according to AO classification. Out of these 41 cases, 37 cases
were followed up for a period of at least 18 months and were
analysed for the end results. The mean follow up period was 23.9
months (18 – 42 months).

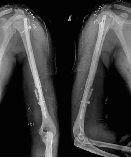
(Figure-1)
Union: Twenty eight of the 37 fractures united within four
months. There were 6 delayed unions of which 4 were AO type A3
fractures, 1 was B1 fracture and 1 was B2 fracture. Three of
these had distraction at fracture site, two had splintering at
the fracture site during nail insertion into the distal fragment
and one was open type II fracture. These six fractures however
united within 6 months. The overall union rate was 91.89% by the
end of 6 months (Figures 1-3).
Non union occurred in 3
patients. One was an open type 2, AO type B1 fracture and there
was distraction at the fracture site. He was treated by

(Figure-2)
bone grafting. The second
nonunion was an open type 2, AO type A3 fracture and he had come
back with a broken nail at the level of the fracture at 6
months. The third nonunion was an open type 3B, AO type B3
fracture. These two patients underwent nail removal, plating &
bone grafting and they were rated as poor outcome because of the
failure of the nail to achieve union.

(Figure-3)
Functional outcome:
According to Rodriguez-Merchan EC criteria(10), 20 patients had
excellent rating. Eleven patients had good rating, 3 had fair
rating and 3 had poor rating. One patient was categorized as
excellent and one was rated as good after the removal of the
nail.
Complications: There
were four preoperative radial nerve palsies which recovered
within 3 months. There were no iatrogenic radial nerve palsies
and there were no post operative wound infections.
Two patients had
comminution at the fracture site during nail insertion. There
was one case of breakage of the distal locking screw, but it did
not affect the outcome. There were 4 cases of stiffness of
shoulder. Totally five patients underwent implant removal of
which 3 were for the proximal protrusion of nail.
Discussion
Stable internal fixation of
upper arm fractures enabling early active mobilization is
enjoying growing popularity(4). Intramedullary nailing allows
earlier use of the limb. This is especially relevant in multiple
trauma patients who need early mobilization(7). Locked
intramedullary nails allow load sharing between the implant and
the fractured bone, avoid excessive soft tissue dissection
required for plating, control rotation better than flexible
nails, and allow early mobilization(10).
Union: Out of the 37
cases, 34 fractures had united by the end of 6 months with an
overall union rate of 91.89%. This result is comparable to the
union rate achieved by Chapman JR (87%)(3), Cox MA (87.9%)(7),
Crates J (94.5%)(10). Chi-Chian Wu (14) reported a nonunion rate
of 16.7% after Seidel interlocking nailing which required
supplementary stapling. In our series, out of the 6 delayed
unions, 3 fractures were fixed with distraction at the fractures
site and 2 patients had splintering at the fracture site while
inserting the nail. The medullary cavity narrows about three cm
above the Olecranon fossa and this may cause obstruction to the
nail and distract the fracture site. Several surgeons with
varying experience operated on the fractures and distraction at
the fracture site might also be because of technical error.
Functional outcome:
The main concerns in antegrade intramedullary nailing of humeral
shaft fractures are with shoulder stiifness(7). Previous reports
have implicated injury to the rotator cuff, disruption of the
articular cartilage or adhesive capsulitis as a result of
antegrade entry(6,15). In the antegrade approach, it is
essential to ensure that both the nail and the proximal locking
screws are deep to the cortex to reduce impingement.
Out of 37 patients, 31 had
good to excellent functional rating. Six patients had fair to
poor results. Four patients had shoulder stiffness at the end
of follow up. Of these in 3 patients the nail was long and
protruding into the rotator cuff which obviously had caused
restriction of abduction. The role of underlying rotator cuff
pathology in any of the cases has not been taken into
consideration. And also the technique of antegrade nailing has
a learning curve.
Complications: None
of these cases developed postoperative infection though some
were open fractures. Infections rates were 5.9% and 7% in
studies on treatment of humeral shaft fractures by plating
conducted by Vander Griend(4) & Foster(16).
Intraoperative
complications were in 2 patients in the form of splintering at
the fracture site while passing the nail into the distal
fragment. None in this series developed radial nerve palsy.
Bell2 and Vander Griend(4) reported 2.9% radial nerve palsy
following plating of humeral shaft fractures.
Conclusions
Unreamed humeral interlocking nail is an
effective means of fixation of acute humeral fractures. It is
also of special value in open humeral fractures due to lower
incidence of infections. Distraction at the fracture site should
be avoided. Shoulder stiffness is a significant problem in
antegrade nailing, which can be minimised if care is taken to
prevent proximal protrusion of the nail and repair the rotator
cuff properly.
References
1. Dobozi WR. Flexible
Intramedullary Nailing of Humeral Shaft Fractures. In: Browner
BD, ed. The Science and Practice of Intramedullary Nailing: Lea
and Febiger; 1987; 305-318.
2. Bell MJ, Beauchamp CG, Kellam JK, McMurtry RY. The results
of Plating Humeral Shaft Fractures in Patients with Multiple
Injuries. The Sunny Brook Experience. J Bone Joint Surg Br.
1985; 67; 293-296.
3. Chapman JR, Henley MB, Julie A, Benca PJ. Randomized
Prospective Study of Humeral Shaft Fracture Fixation:
Intramedullary Nails Versus Plates. J Orthop Trauma. 2000; 14;
162-166.
4. Vander Griend R, Tomasin J, Ward EF. Open Reduction and
Internal Fixation of Humeral Shaft Fractures. Results Using AO
Plating Techniques. J Bone Joint Surg Am. 1986; 68; 430-433.
5. Brumback RJ, Bosse MJ, Poka A, Burgess AR. Intramedullary
Stabilization of Humeral Shaft Fractures in Patients with
Multiple Trauma. J Bone Joint Surg Am. 1986; 68; 960-970.
6. Stern PJ, Mattingly DA, Pomeroy DL, Zenni EJ, Kreig JK:
Intramedullary Fixation of Humeral Shaft Fractures. J Bone Joint
Surg Am. 1984; 66; 639-646.
7. Cox MA, Dolan M, Synnott K, McElwain JP. Closed Interlocking
Nailing of Humeral Shaft Fractures with the Russell-Taylor
Nail. J Orthop Trauma. 2000; 14; 349-353.
8. Rommens PM, Verbruggen J, Broos PL: Retrograde Locked Nailing
of Humeral Shaft Fractures. A Review of 39 Patients. J Bone
Joint Surg Br. 1995; 77; 84-89.
9. Blum J, Janzing H, Gahi R, Langendorff HS, Rommens PM.
Clinical Performance of a New Medullary Humeral Nail: Antegrade
Versus Retrograde Insertion. J Orthop Trauma. 2001; 15;
342-349.
10. Crates J, Whittle PA. Antegrade Interlocking Nailing of
Acute Humeral Shaft Fractures. Clin Orthop. 1998; 350; 40-50.
11. Lea RD, Gerhardt JJ. Range-of-Motion Measurements. J Bone
Joint Surg Am. 1995; 77; 784-798.
12. Shaffer B, Tibone JE, Kerlan RK. Frozen Shoulder. A
Long-term Follow-up. J Bone Joint Surg Am. 1992; 74; 738-746.
13. Harryman DT II. The Stiff Shoulder. In: Rockwood CA Jr,
Matsen FA III, ed. The Shoulder. Vol 2: W.B. Saunder's Company;
1998; 1075-1076.
14. Chi-Chuan Wu: Humeral Shaft Non-union Treated by a Seidel
Interlocking Nail with a Supplementary Staple. Clin Orthop.
1996; 326; 203-206.
15. Foster RJ, Dixon GL, Bach AW, Appleyard RW, Green TM.
Internal Fixation of Fractures and Non-unions of the Humeral
Shaft. Indications and Results in a Multi-center Study. J Bone
Joint Surg Am. 1985; 67; 857-864.
16. Foster RJ, Swiontkowski MT, Bach AW, Sack JT. Radial Nerve
Palsy Caused by Open Humeral Shaft Fractures. J Hand Surg [Am].
1993; 18; 121-124.
|